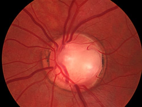
Maylon is a 50-year-old man of Caribbean descent, working as an occupational truck driver who noted to have a large cup-to-disc ratio of 0.6 during a fundoscopic examination by his optometrist and referred back to you. The patient reported no visual complaints. He has a background of hypertension and diabetes, both well controlled. You perform fundoscopy which looks as below. He has an IOP of 27mmHg.

What is your primary diagnosis?
- Open Angle Glaucoma
What are the differentials of increased cup to disk ratio without elevated IOP?
- Normal Tension Glaucoma
- Physiologic cupping
- Optic neuropathy
- Closed Head Injury
What are the risk factors for this diagnosis?
- Age
- Family history
- Race – afro-carribean
- Ocular hyperteison
- Mypoia
- Retinal detachment
- CRVO
- Diabetes
- Strong family history
- Hypertension
- OSA
- CVD
- Migraine
- Raynauds
What fundoscopic features of the optic disk would lead you to consider a diagnosis of glaucoma over the other causes of optic disk cupping?
- Larger cup-to-disc ratios
- Vertical (as opposed to horizontal) elongation of the cup.
- Disc hemorrhages.
What is the most important immediate first step in management of this condition?
1. Referral to ophthalmologist
What are the key features of management of this presentation?
1. Lower intraocular pressure
2. Control comorbidities
3. Patient education about importance of compliance
What are the classes of medication that can be used to manage this presentation?
- Topical Beta blockers
- Topical Prostaglandin derivatives
- Topical Alpha 2 adrenergic agents
- Topical Miotics
- Topical Carbonic anhydrase inhibitors
- Systemic hyperosmotic agents
What is the the lower limit of abnormal range of cup to disk ratio for glaucoma?
- >0.5
What is a normal cup to disk ratio?
- 0.3 (66% of population)
- 0.5 (5% of population)
What is the normal range of intraocular pressure?
- 11-21 mmHg
Which patient populations are at “increased risk” for the development of Open Angle Glaucoma according to the RACGP Red Book?
1. Family history of glaucoma (first-degree relatives)
2. Caucasian and Asian patients aged ≥50 years
3. Patients of African descent aged ≥40 years
What are the screening recommendations for this patient population?
1. Refer for ocular examination 5-10 years earlier than the age of onset of glaucoma in the affected relative (A)
2. Frequency of follow up determined by the individual patient’s eye assessment.
Which patient populations are at “higher risk” for the development of Open Angle Glaucoma according to the RACGP Red Book?
1. Patients aged >50 years with:
2. diabetes
3. myopia
4. long-term steroid use
5. migraine and peripheral vasospasm
6. abnormal blood pressure (BP)
7. history of eye trauma
What are the potential complications of this presentation if left untreated?
1. Visual loss
2. Complete blindness
3. Driving restriction
4. Fall risk in elderly
5. Loss of income
6. Depression
Audio Lecture
<coming>
[wpforms id=”7496″ title=”false” description=”false”]