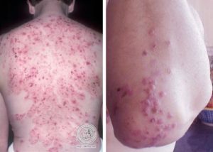
Sally is a 35 year old woman who presents with severe widespread Flat red patches, thickened plaques and wheals on a background of recent weight loss, fatigue, diarrhoea, bloating, made worse with eating wheat products.

Questions

  • What is this rash called?
  • What is the cardinal association of this rash?
  • What investigations would give you more information about the rash?
  • What investigations are indicated in coeliac?
  • What nutritional deficiencies would you screen for?
  • What is the treatment of this rash? 

Diagnosis of Dermatitis Herpetiformis

  • Skin biopsy
  • Investigate for Coeliac

Investigations in Coeliac

  • Small intestine biopsy
  • IgA anti-endomysial antibodies
  • IgA tissue transglutaminase antibody, tTG
  • IgA and IgG deamidated gliadin peptide antibody, dGP
  • IgA and IgG gliadin assay
  • Total IgA level
  • *IgA epidermal transglutaminase antibodies, eTG (when available) – for DH + Coeliac

Nutritional deficiencies to screen for

  • Full blood count, liver function tests and serum calcium
  • Iron, vitamin B12 and folate
  • Thyroid function tests

Management of Dermatitis Herpetiformis

  • Gluten Free Diet
  • Dapsone 25-300mg daily
  • If intolerant or allergic to dapsone, the following may be useful:
    • Ultra-potent topical steroids
    • Systemic steroids
    • Sulfapyridine
    • Rituximab

References