Sally is a 16 year old girl who presents with hot red acne on face, seeking assistance.

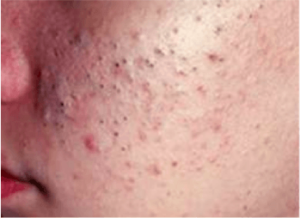
Moderate inflammatory acne

Moderate comedonal acne
Questions
- What severity of acne would you classify this as?
- What is the initial management of this condition?
- If initial management failed, what would be the next step?
- What are the contraindications to retinoids?
- What are the psychological complications of moderate-severe acne?
Non-pharmacological/lifestyle management of acne
- Eat a healthy diet
- Cease smoking
- Use your prescribed treatment every day.
- Use water-based or oil-free cosmetics and sunscreens.
- Try not to pick and squeeze the spots, because this causes scabs that make the skin look worse.
- Be patient—most treatments take at least 6 to 12 weeks to work.
Management of moderate acne
- Initial – oral antibiotic –
- Doxycycline 100mg od 6 weeks
- Minocycyline 100mg d 6 weeks
- Erythromycin 500mg BD 6 weeks
- Female –
- COCP
- and or Spironalactone
- Topical retinoid or combination – retinoid if comedonal, combination if inflammatory
After 6 weeks, if the acne has not responded:
-
in males, try a different antibiotic listed above for 6 weeks
-
in females, try a different antibiotic listed above for 6 weeks or add or change to a COCP and/or spironolactone
-
refer the patient to an expert for oral isotretinoin.
If the patient’s acne is well-controlled on oral antibiotics, therapy can continue as long as needed. Check liver biochemistry once a year in patients taking minocycline long term.
References